MRS-J NEWS@Vol.20 No.3 August 2008
¡Hello members!!
Mission of MRS-Japan and the Benefits
\Community to create worldwide colleagues starting from a single\
Dr. Naoki KISHIMOTO, President of MRS-Japan
Managing Director, Quantum Beam Center, National Institute for Materials Science
@The mission of MRS-Japan is to promote progresses of academic and applied sciences, and innovations of advanced materials, through the trans- and interdisciplinary research activities by the specialists of the science and technology. The interdisciplinary coordinated cooperation among the specialists all over the fields is indispensable to solve the environment and energy issues, etc. with which the humankind is now confronted, and to attain the sustainable economic society with safe and comfortable life.
@What should MRS-Japan do during such a turbulent age? I have an experience to have been saved by MRS-Japan: At first, I had been dedicated to nuclear materials, to meet the national needs. Then the age was converted to fundamental and functional materials research. I was gdesignated for assignment,h out of the nuclear material club. To make the best use of the past experiences and tools, the next direction was settled to gCreation of metal-nanoparticle composites by ion beams and the ultra-fast nonlinear optics.h Although we reported our results to the existent domestic societies, the discussion did not engage and we were alike gugly ducklings.h Then, we timidly proposed an interdisciplinary symposium, which was promptly admitted by MRS-Japan. Now, the symposium has increased the clientele, and has become unique in biomaterial irradiation and nanofabrication with ion beam technologies. Nowadays, international colleagues have also joined the community by virtue of international connections with IUMRS.
@The MRS-Japan thus offers a community of the participation-type and a friendly stage, without inappropriate authority or prejudices. Propose a symposium by yourself starting from one participant, and you will make colleagues later on all over the world. The answer will be surely found.
¡Laboratory Introduction
Environmental Technology and Research in Yokohama Research Institution, Tokyo Gas Co., Ltd.
Mr. Tomoaki YOKOYAMA, General Manager, Fundamental Technology Department, Technology Development Division, Tokyo Gas Co., Ltd.
@The new Institution was launched 2006 at Tsurumi, Yokohama. The centralized research organization expedites effective technology development: research areas include the microgrid system which integrates use of fuel cell, photovoltaic power generation, wind power generation, storage battery, etc., and the cascade use of biomass, in which bio-gas and bio-ethanol are recovered from refuses such as garbage.

}-1@ŽÀØŽŽŒ±ŠT—ªƒtƒ[}
}-2@‰¡•lŒ¤‹†Šƒ}ƒCƒNƒƒOƒŠƒbƒhŽŽŒ±Ý”õ
@

}-3@„iHŽ–ŠT”O}
ŽÊ^-1@ŠÛŒŠØ’fì‹Æ
ŽÊ^-2@RƒJƒbƒ^[n
@
ŽÊ^-3@ŠÛŒŠŒ@íHŽ–Ž{HŒã‚Ìó‹µ
ŽÊ^-4@]—ˆ‚Ì”’üˆø‚«ì‹Æ

ŽÊ^-5@u‘¬ü—Ív‚Ìì‹Æ
| Conact:@Mr. Tomoaki YOKOYAMA, General Manager, Fundamental Technology Department, @@@@@@@Technology Development Division, Tokyo Gas Co., Ltd. @@@@@@@@Tel: 045-500-8800 @@@@@@@@E-mail: tomoyoko—tokyo-gas.co.jp |
¡Research Topics
Sugar Chip and Sugar-Chain Immobilized Gold Nanoparticle (SGNP):
Novel Bio-tools toward a Diagnosis for Viruses
Prof. Dr. Yasuo SUDA, Department of Nanostructure and Advanced Materials, Kagoshima University,&SUDx-Biotec Corporation
@Sugar-chains are responsible for many biological functions and play crucial roles in cellular binding and signaling. Specific structural attributes of the sugar-chains determine their biological functions through distinct binding interactions with proteins, cells, or viruses. We first developed a sugar-chain immobilized gold-coated chip (named Sugar Chip) for the sensor chip of Surface Plasmon Resonance (SPR) apparatus. SPR is a very powerful tool for the real-time study of the specific interactions between biological molecules since the experiment can be done without any labeling of targets. The combined method with Sugar Chip and SPR would possess high potential for a high-throughput screening of new drug discovery or for a novel diagnosis. Various sugar-chains were immobilized on chips and their interactions with proteins or viruses were systematically evaluated. This method is now being applied for the quick discrimination of influenza virus strains.
@Using our immobilizing technology, we then developed sugar-chain immobilized gold nano-particles (SGNP) for the electricity free visual detection system. Also SGNP captured viruses through the binding interaction between sugar-chains on SGNP and proteins on virus surface. Using the property, we are establishing a highly sensitive detection system with a combination of PCR and an on-site diagnosis kit for viruses.

(a)

(b)
Fig.1@Application of ligand-conjugates for micro-array patterning and SPR-imaging

Fig.2@TEM images of SGNPs

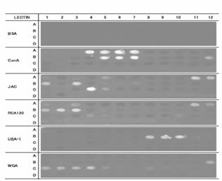
Fig.3@Detection of sugar chain-protein interaction
@

Fig.4@Binding patterns of influenza viruses

Fig.5@SGNP (ƒ¿2-6NeuAc, Type II) captured Type A influenza (Memphis strain) viruses

(a)

(b)

(c)
Fig.6@An effective concentration/detection of HHV-1 viruses
mReferencesn
1) Varki, A.: Essentials of Glycobiology (Eds.: Varki, A., Cummings, R., Esko, J., Freeze, H., Hart, G. and Marth, J.), Cold Spring Harbor Laboratory Press, Cold Spring Harbor, New York, NY, pp.57-68 (1999), and references therein.
2) ‹÷“c‘×¶F“œ½ƒ`ƒbƒv (’JŒû’¼”VEˆÉ“¡K¬•Ò) “œ½‰ÈŠw‚ÌV“WŠJ\‹@”\‰ð–¾EŽŸ¢‘ãŒ^Þ—¿Eˆã–ò•iŠJ”‚ÉŒü‚¯‚Ä, ƒGƒkƒeƒB[ƒGƒk, pp.471-81 (2005)
3) Suda, Y., Arano, A., Fukui, Y., Koshida, S., Wakao, M., Nishimura, T., Kusumoto, S. and Sobel, M.: Immobilization and clustering of structurally defined oligosaccharides for sugar chips: an improved method for surface plasmon resonance analysis of protein-carbohydrate interactions. Bioconjug. Chem., 17: 1125-1135 (2006).
4) Suda, Y., Kishimoto, Y., Nishimura, T., Yamashita, S., Hamamatsu, M., Saito, A., Sato, M. and Wakao, M.: Sugar-immobilized gold nano-particles (SGNP): Novel bioprobe for the on-site analysis of the oligosaccharide protein interactions, Polymer Preprints, 47(2), 156-157 (2006).
5) PCT/JP2006/310592
6) Ryan-Poirier, K., Suzuki, Y., Bean, W.J., Kobasa, D., Takada, A., Ito, T. and Kawaoka, Y.: Changes in H3 influenza A virus receptor specificity during replication in humans, Virus Res., 56(2), 169-76 (1998).
7) “ÁŠè2006-340554
8) “ÁŠè2008-156020
| ContactF@Prof. Dr. Yasuo SUDA, Department of Nanostructure and Advanced Materials, Kagoshima University,&SUDx-Biotec Corporation @@@@@@@http://www-nano.eng.kagoshima-u.ac.jp/ @@@@@@@http://www.sudxbiotec.jp/ |